Podcast: Play in new window
Subscribe: RSS
[display_podcast]
Date: April 14th, 2015
Guest Skeptic: Dr. Alan Chiem is an assistant clinical professor and the director of ultrasound at UCLA Olive View.
Case: 78-year-old man with a history of diabetes, hypertension and coronary artery disease presents with a two day history of increasing shortness of breath. He does not have any chest pain or fever. You have been doing more and more with ultrasound and wonder whether you can make the diagnosis of acute pulmonary edema before getting the standard CXR, ECG and lab tests.
Background: Acute heart failure is a condition where the heart cannot pump well enough to meet the demands of the body. It can be due to a number of different causes including: myocardial infarction, arrhythmias, valvular dysfunction, pneumonia, uncontrolled hypertension, anemia, hyperthyroidism and many other causes.
The diagnosis of heart failure before the 1990’s was fairly grim with 60-70% of patients dying within five years of diagnosis.
Things have improved tremendously over the last couple of decades with respect to mortality but heart failure is still the most common re-admission diagnosis within one month for patients over 65 years of age. In the U.S. we spent roughly 25 billion every year on acute heart failure hospitalizations alone.
The diagnosis of acute heart failure can be challenging because the signs and symptoms are insensitive and/or non-specific.
Clinical gestalt alone is moderately specific, but not sensitive (LR+ 4.4, LR- 0.45). Chest x-rays have been used for years to diagnose heart failure, but is also imperfect. For example the presence of interstitial edema has LR+ 17.1 but LR- only 0.7. In addition, chest x-ray interpretation agreement between radiologist and emergency physician can be less than 50%. This could result in many patients with acute heart failure being missed.
Serum markers of BNP and ProBNP sometimes help diagnose patients with acute dyspnea. A systematic review by Lam et al in Ann of Intern Med 2010 demonstrate ED testing may decrease hospital LOS by a day, and possibly reduce admission rates, but they did not really affect mortality rates. http://pmid.us/22123173
In 2012, BEEM and Dr. Peter Rosen published a review of 5 diagnostic RCTs that explored ED physician awareness of BNP or not (J Emerg Med). This study noted no consistent differences in any measurable outcome (diagnostic accuracy, ED length of stay, hospitalization rates, length of hospital admission, etc.)
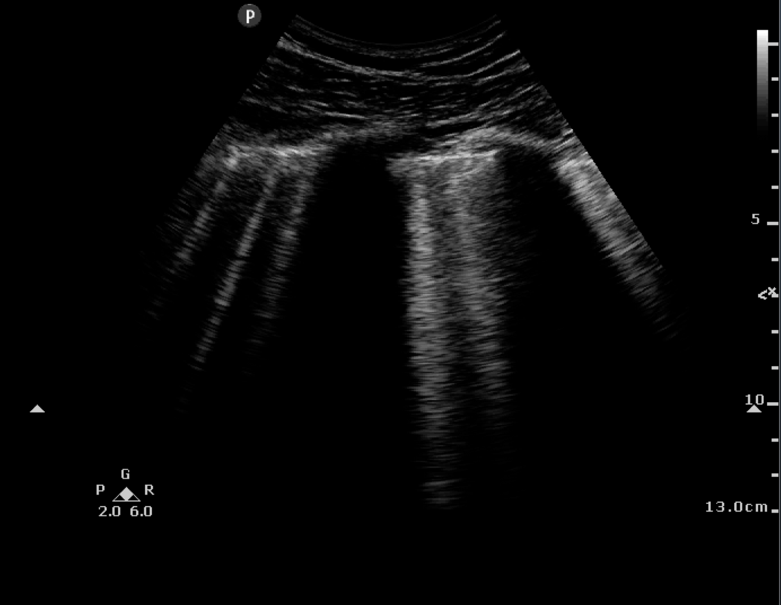
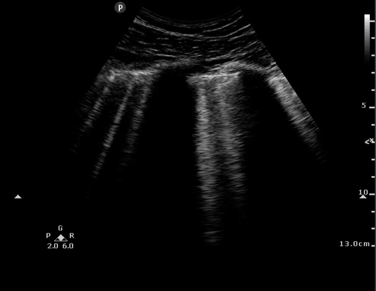
POCUS is now part of the core curriculum for emergency medicine residents. Identifying B-Lines on thoracic ultrasound can be used to identify interstitial fluid.
Clinical Question: Can novice emergency medicine resident physician sonographers accurately identify B-lines in undifferentiated dyspnea patients to diagnose acute heart failure after a 30-minute training course?
Reference: Chiem AT, et al. Comparison of expert and novice sonographers’ performance in focused lung ultrasonography in dyspnea (FLUID) to diagnose patients with acute heart failure syndrome. AEM April 2015
- Population: Sixty-six EM resident physicians from one inner-city ED with over 100,000 annual visits assessing patients >18 years old presenting with chief complaint of dyspnea.
- Exclusions: Attending physician perspective that dyspnea due to cause other than CHF, incarcerated individuals, patients who were pregnant, on dialysis, on positive pressure ventilation, or receiving nebulizer treatment, or too ill to provide written consent. Non-English speaking patients were also excluded.
- Intervention: Bedside ultrasound by EM resident assessing for three or more B-lines using eight-zone thoracic ultrasound on thoracic exam preset and curvilenear transducer. All EM residents received 30-minute lecture on technique and recognition of sonographic B-lines by the ED director of ultrasonography.
- Comparison: No comparison group
- Outcome:
- Primary Outcome: Diagnostic accuracy (sensitivity, specificity, positive/negative likelihood ratio, positive/negative predictive value) of novice sonographers to identify B-lines by bedside ultrasound compared with an expert sonographer.
- Secondary Outcome: Diagnostic accuracy of both novice and expert sonographers’ interpretation of ultrasound B-lines to diagnose acute heart failure syndrome, using two independent expert’s chart review as the criterion standard.
Authors’ Conclusions: Inexperienced sonographers can identify sonographic B-lines with greater than 80% sensitivity and specificity as compared to an expert sonographer after a brief tutorial. Lung ultrasonography has fair predictive value for pulmonary edema from acute heart failure in the hands of both novice and expert sonographers.
Quality Checklist for Diagnostic Trials:
- The clinical problem is well defined. Yes – Bedside exam is inaccurate and often unreliable for the diagnosis of CHF as the etiology of acute undifferentiated dyspnea in ED patients.
- The study population represents the target population that would normally be tested for the condition (ie no spectrum bias). Yes
- The study population included or focused on those in the ED. Yes
- The study patients were recruited consecutively (ie no selection bias). No
- The diagnostic evaluation was sufficiently comprehensive and applied equally to all patients (ie no evidence of verification bias). Unsure
- All diagnostic criteria were explicit, valid and reproducible (ie no incorporation bias). Unsure
- The reference standard was appropriate (ie no imperfect gold-standard bias). Yes
- All undiagnosed patients underwent sufficiently long and comprehensive follow-up (ie no double gold-standard bias). Yes
- The likelihood ratio(s) of the test(s) in question is presented or can be calculated from the information provided. Yes
- The precision of the measure of diagnostic performance is satisfactory. Yes
Key Results: Although EM residents not mandated to participate, 92% did with range of 1 to 28 ultrasounds and median of 3 per sonographer.
Over 50% of 1200 dyspnea patients presenting between May 2009 and June 2010 were ineligible using the authors’ criteria and 380 patients were included in the analysis (93% African American, mean age 55 years).
Acute heart failure syndrome was the cause of dyspnea in 35% of patients with a 92% agreement for CHF-as-cause between the two expert reviewers.
- Primary Outcome: Diagnostic accuracy of novice sonographer to identify B-lines for each lung zone
- Sensitivity 85% (95% CI 83%-88%) and Specificity 84% (95% CI 82%-85%)
- LR+ 5.2 (95% CI 4.7-5.8) and LR- 0.2 (95% CI 0.1-0.2)
- Secondary Outcome: Diagnostic accuracy of linking B-line identification to the correct diagnosis of CHF
- Novice Sonographers:
- Sensitivity 87% (95% CI 81%-92%) and specificity 49% (95% CI 42%-55%)
- LR+ 1.7 (95% CI 1.5-2.0) and LR- 0.3 (95% CI 0.2-0.4).
- Expert Sonographers
- Sensitivity 85% (95% CI 78%-90%) and specificity 58% (95% CI 52%-64%)
- LR+ 2.1 (95% CI 1.7-2.4) and LR- 0.3 (95% CI 0.2-0.4)
- Novice Sonographers:
The Receiver Operating Characteristic Area Under the Curve was 0.77 (95% CI 0.72-0.82) for novice sonographers and 0.76 (95% CI 0.71-0.82) for expert sonographer.
1) This was a fascinating Level II Diagnostic Accuracy study exploring the reproducibility of ideal setting bedside sonography (handful of experts) in the real-world of mostly inexperienced EM sonographers.
- I would argue that we are not making the diagnosis of acute heart failure, especially as it relates to type and severity, in a timely manner. Acute heart failure syndrome, being a syndrome, can occur from several etiologies and there are guidelines as to how best to treat a specific phenotype.
- However, most clinicians assume that all patients with acute heart failure have the same hemodynamic issues and therefore manage them with nitrates and furosemide. This leads to complications such as hypotension and acute kidney injury, with associated increases in length of stay as well as mortality. This is one of the reasons that heart failure researchers are starting to look at ED-based enrollment, so that you can potentially identify acute heart failure type and severity, in order to tailor therapies and to potentially identify patients that improve dramatically in the ED for discharge.
- POCUS (especially focused echocardiography) can really help with this problem, because it looks as patients’ hemodynamics in a way that no lab or imaging test can capture. I firmly believe that EP’s can be trained to do an acute heart failure ultrasound protocol, and the UCLA Clinical Science Testing Institute has given me some funding to test this out.
- However, one of the key issues in POCUS is the balance between feasibility and accuracy. We want to be able to prove to clinicians that the amount of training involved in the ultrasound application is outweighed–and we hope by a large extent–the increase in clinical accuracy and efficiency. In using a large group of trainee physicians, this study is a good step in that direction, whereas the vast majority of studies use a small group of highly-trained clinician sonologists.
Hierarchy of Evidence for Diagnostic Studies:
- Technical Efficacy – can we obtain the measures for diagnosis
- Diagnostic Accuracy Efficacy- sensitivity, specificity, likelihood ratios, predictive values and area under the curve
- Diagnostic Thinking Efficacy – confidence in diagnosis
- Therapeutic Efficacy – proportion of cases that further testing we avoided and changed management
- Patient Outcome Efficacy – cost per unit of change in outcome variable, morbidity avoided by testing, mortality
- Societal Benefit – cost effectiveness analysis from society perspective
2) The authors used appropriate chart review methods and adhered to the important elements of the Standards for Reporting of Diagnostic Accuracy (STARD) guidelines.
- We attempted to follow the 25-point checklist, including reporting the number of patients excluded and exclusion reason, as well as blinding of ultrasound interpretation and ultimate primary diagnosis.
3) The reporting a kappa value rather than raw agreement in assessing the cause of dyspnea, as acute heart failure syndrome between two experts would have been more meaningful.
- This was considered but was was not a primary outcome of interest. Rather, two expert reviewer diagnosis (which should take into account the clinical, laboratory, and imaging data presented) is the gold standard in acute heart failure studies.
4) We were uncertain whether expert chart reviewers were aware of the bedside ED ultrasound results when determining whether cause of dyspnea was congestive heart failure; if they were aware then incorporation bias would tend to increases estimates of sensitivity and specificity.
- The expert reviewers were blinded to the ultrasound results. However, the study sonologists were not necessarily blinded to the clinical information at hand as they performed and interpreted the ultrasounds. However, the expert sonologist who reviewed the ultrasounds and made his own interpretation was blinded to all data. It is interesting to see the differences in false positive and negative rates among the two groups.
5) If ED clinicians used findings of B-lines to determine subsequent congestive heart failure (or other diagnostic) testing, partial verification bias increases estimates of sensitivity and decreases estimates of specificity.
- This was largely avoided this issue because the ultrasound results were not available to the expert reviewers. We don’t think it influenced diagnosis since the expert reviews are based on primarily laboratory and imaging data, as well as discharge summaries. In fact, most internists and cardiologists have no idea what a B-line is when you ask them. They assume that you are talking about Kerley B-lines on chest radiographs.
6) You reported Receiver Operating Characteristics as Area Under the Curve (AUC). The AUC helps us estimate how good a test is at discriminating between disease and non-disease. To construct a ROC graph, we plot these pairs of values on the graph with the 1-specificity on the x-axis and sensitivity on the y-axis. The result can be between -1 and +1 with a perfect test having a value of 1. Your results were in the “good” range with both resident and attending having a value of 0.77 and 0.76 respectively.
- An ROC curve looks at the signal to noise ratio of a test, by graphing the true positive rate (or sensitivity) to the false positive rate (or 1-specificity) of various points of the test, in order to arrive at an optimal cut-off. However, you can look at the area under the curve and use it to see in general how accurate the test is.
Comment on Authors’ Conclusion Compared to SGEM Conclusion: We agree that inexperienced sonographers in a setting with ongoing ultrasound curricula and mentoring expertise can quickly acquire the skill to accurately identify B-lines by bedside ultrasound.
However, we are uncertain if this would be the same in settings without ultrasound expert to teach knobology, probe position, enhancing image quality, and facilitate balance between ED workflow and implementation of a new ultrasound skill.
- Clinical ultrasonography is a rapidly expanding field. We are currently seeking subspecialty board certification.
Bedside ultrasound has two distinct skill requirements: (1) image acquisition and (2) image interpretation. Other imaging modalities (x-ray, CT, or MRI) do not require the ED provider to acquire the images.
- That is true. It places imaging into the hands of clinicians and allows for expedited diagnosis in optimal circumstances. Both subsets need to be introduced relatively early in training, because we know that after training, it becomes more difficult to learn such a potentially powerful but difficult way to practice. That’s why most of us ultrasound gurus are also busy introducing ultrasound to medical students in anatomy and physical diagnosis courses, as well as teaching our emergency medicine trainees and colleagues.
Part of “knowledge translation” in bedside ultrasound is learning how to efficiently obtain images without disrupting busy ED workflow. Doing so for congestive heart failure, where a reasonably accurate and readily available test (chest x-ray) already exists, requires research in non-academic, non-ultrasound training EDs.
Additionally, the clinical impact of bedside ultrasound was not assessed in this study. Using the most accurate measures of bedside US for B-lines (LR+ 2.1, LR- 0.3 for expert sonographer), the 35% pre-test probability for CHF would increase to 53% with a positive ultrasound and 14% with a negative ultrasound.
Is this post-test shift is CHF probability meaningful? What are the test- and treatment-thresholds upon which individual clinicians alter subsequent management decisions?
These questions will only be answered with a diagnostic randomized controlled trial where half the dyspnea patients ED provider point-of-care ultrasound, half do not. This diagnostic RCT should assess ED length of stay, admission rates, ancillary testing, and total costs, but also patient-centric outcomes like time to relief of symptoms
- The +LR 2.1 and -LR 0.3 is for 1/8 positive zones. B-lines can result from ARDS as well as para-pneumonic processes as well, especially if they are unilateral and/or if they are associated with sub-pleural consolidations, which we did not study. However, when all 8 zones have more than 3 B-lines, the +LR goes up to 9.2. What I’d like listeners to take away from this study is that with someone where there is reasonable suspicion that pulmonary edema is the cause, just doing B-line ultrasonography on two anterior zones gives a +LR of 4-5, with specificity for pulmonary edema of greater than 90%.
SGEM Bottom Line: Bedside ultrasound by inexperienced EM residents in a training program with an ultrasound fellowship to identify B-lines in non-critical ED patients with undifferentiated dyspnea is just as accurate as ultrasounds by experienced sonographers.
Whether this applies to non-academic settings without ultrasound expertise is unknown. If the diagnostic accuracy is confirmed in less academic settings, future studies should assess more meaningful outcomes than diagnostic accuracy such as length of stay, admission rates, ancillary testing, and resolution of patient symptoms.
Case Resolution: You get out the ultrasound machine and find B-Lines suggestive of acute heart failure. These ultrasound findings are verified by your attending.
While happy to have your skills confirmed you continue the work-up for the underlying cause of the patient’s dyspnea.
Clinically Application: Bedside ultrasound in dyspnea patients by inexperienced EM residents to identify B-lines with minimal training is accurate relative to more experienced sonographers. However, using ultrasound B-lines to rule-in (LR+ 1.7) or rule-out (LR- 0.3) CHF is problematic and somewhat underwhelming.
What Do I Tell My Patient? There are many potential causes for your shortness of breath. One possibility is heart failure and several tests will help to assess this possibility. One test that we can conduct right now is an ultrasound of your lungs. The results of this test may help me to more quickly determine the probability of acute heart failure while more definitive tests are pending.
Keener Kontest: Last weeks winner was Greg Costello. He knew cows eating spoiled silage were noted to be having bleeding disorders in Wisconsin. Scientists at the University of Wisconsin found the chemical responsible for the bleeding and licensed it to DuPont, which continues to pay royalties to the University of Wisconsin Research Foundation (WARF). DuPont’s formulation of warfarin sodium is called Coumadin.
Listen to the podcast for this weeks keener question. If you know the answer send an email to TheSGEM@gmail.com with “keener” in the subject line. The first correct response will win a cool skeptical prize.






You must be logged in to post a comment.