Podcast: Play in new window
Subscribe: RSS
[display_podcast]
Date: April 28th, 2014
Classic Guest Skeptic: Dr. Pik Mukherji otherwise known as ER Cowboy on Twitter. Dr. Mukherji is an emergency physician from New York City.
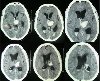
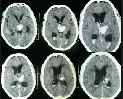
Case Scenario: A 54 year old man presents with acute onset of headache. His blood pressure 210/110mmHg. CT scan shows and acute bleed.
Question: Does rapid lowering of blood pressure improve outcomes in patients with acute intracerebral hemorrhage?
Background: Pik wrote a really interesting blog posting in December called Hypertension Emergencies: Does it really exist? The Swami told me all I need to say is “hypertensive malignancy” to trigger a rant. Listen to Pik RANT about this issue on the podcast. Pik focused on the concept of end organ damage:
- Heart – Myocardial Infarction
- Brain – Headache Myth
- Kidney – Failure (Chicken and Egg)
- Eye – Oral Medication Recommended
Acute spontaneous intracerebral hemorrhage is a bad thing to have happen. Bleeding in the brain is not good. Patients often do poorly and their outcome has been associated with their blood pressure. The blood pressure often elevates to very high numbers. Current AHA/ASA Guidelines from 2010 recommend lowering BP as follows:
A preliminary study called INTERACT 1 was published in the Lancet in 2008. This trial was a run-in-phase to a larger trial to be called INTERACT 2.
The conclusions from this earlier INTERACT 1 study was “Early intensive BP-lowering treatment is clinically feasible, well tolerated, and seems to reduce haematoma growth in ICH. A large randomised trial is needed to define the effects on clinical outcomes across a broad range of patients with ICH.”
Hematoma size is a disease oriented outcome. Patients don’t generally care about the size of their hematoma. They are usually more interested if they are alive or dead. If alive they prefer to have a good neurological function rather than a poor one.
Article: Anderson et al. Rapid Blood-Pressure Lowering in Patients with Acute Intracerebral Hemorrhage (INTERACT 2), NEJM 2013; 368: 2355-2365.
- Population: Adults (n=2839) with spontaneous ICH presenting within 6 hours and who have an elevated BP. Exclusion criteria included structural cerebral cause for the intracerebral hemorrhage, deep coma defined by Glasgow Coma Scale (GCS)<5, massive hematoma with poor prognosis, or if early surgery to evacuate the hematoma was planned.
- Intervention: Intensive BP lowering (target <140mmHg) within 1 hour and for 7 days
- Comparison: Guideline-recommended BP lowering (<180mmHg) within 7 days which included ACE-inhibitor and diuretic if not contraindicated and if different drugs were specifically required with the goal of achieving systolic BP less than 140 mm Hg during follow-up
- Outcome: Poor outcome as defined by death or major disability (modified Rankin Scale >2/6) at 90 days and safety. Secondary outcomes included all-cause mortality and cause-specific mortality, health-related quality of life, duration of initial hospitalization, residential care facility placement at 90 days, poor outcomes at 7 days and 28 days, and serious adverse events.
Authors Conclusion: “In patients with intracerebral hemorrhage, intensive lowering of blood pressure did not result in a significant reduction in the rate of the primary outcome of death or severe disability. An ordinal analysis of modified Rankin scores indicated improved functional outcomes with intensive lowering of blood pressure.”
Randomized Clinical Trial Quality Check
Emergency Department Patients – Yes. Although the authors do not specifically state that patients were recruited and therapy initiated in the ED for the patients enrolledin 144 hospitals in 21 countries, the median time from the onset of intracerebral hemorrhage to the initiation of intravenous treatment was 4.0 hours in the intensive- treatment group (vs. 4.5 hours in the control group) which is the timeframe in which ED care would be rendered in countries where emergency medicine exists.- Randomized – Yes
- Concealed – NO
- Analyzed – Yes
- Consecutive – Yes
- Prognostic Factors – Unsure
- Unaware Allocation – NO
- Treated Equal – Yes
- Follow-up Complete – Yes
- Patient Oriented Outcomes – Yes
- Large and Precise – NO
Key Results:
No statistically significant difference in death, disability or safety between the two treatment groups.
- Primary Outcome – Death, disability or safety between the two treatment groups.
- Poor outcome 90d 52.0% vs. 55.6% (OR=0.87, 95% CI 0.75-1.01; P=0.06))
- Mortality 11.9% vs. 12.0%
- Nonfatal serious adverse events 23.3% vs. 23.6%
- Secondary Outcome – Ordinal analysis showed a significantly lower mRS with intensive treatment OR 0.87 (95% CI 0.77 to 1.00; P = 0.04).
Comments: It is not “The” paper on blood pressure and ICH. Despite the large multi-centre RCT ~60% where Chinese men which does not represent Pik’s population (external validity).
There was a lot a variability on how they achieved the target blood pressure. The most common intravenous drug used to lower blood pressure was urapidil (alpha-adrenergic antagonist) which is not available in Canada/USA.
The authors performed an ordinal analysis of the primary outcome (mRS) and found that to be statistically better for intensive treatment (OR for greater disability = 0.87; 95% CI 0.77 to 1.00; P = 0.04).
This method of ordinal analysis is similar to the IST-3 study looking at tPA at <6hrs. This method assumes that OR between each mRS is equal. While this ordinal method of analysis shows “statistical” benefit it is unclear if this translates to patient-oriented outcomes.
This study attempts to answer whether or not lowering the blood pressure to “normal” levels in patients with ICH improves outcome. They did lower the blood pressure in the intensive group at 1 hr to 150mmHg vs. 164mmHg in the standard treatment group. This did not result in a difference in death, disability or safety between the two treatment groups.
There was an absolute decrease in the primary outcome of “poor outcome” of 3.6% (52.0% vs. 55.6%, NNT = 28, 95%CI 14 to infinity) favoring intensive lowering. This represented a 13% relative decrease. Again, this was not a statistically different outcome. Many of the surrogate measures were better with intensive lowering of the blood pressure (anxiety, depression, mobility, and quality-of-life issues).
The randomization was adequate but there were some differences between the two groups. Patients in the intensive blood pressure group started their treatment 20-30 minutes earlier, it more often took IV medications to reach target blood pressure and a larger number of the subjects in the intensive group (5%) withdrew from therapy compared with the standard group (3%). The investigators did not explain these imbalances adequately.
These observed differences between the two groups may have been because the study was unblinded. Treating physicians and patients were aware of their assigned groups.
Outcome assessors were blinded when followed up patients in person or by telephone at 28 days and 90 days. This lack of blinding may explain why subjective secondary outcomes were better in the intensive treatment group but not in the more objective primary end points.
The last thing is the hypothesis about patients with a history of hypertension, auto regulation and embolic stroke doing worse if blood pressure is acutely lowered. Yet when you look at this study and their subgroup analysis it suggests the opposite. Figure #1 shows the only subgroup that has its point estimate favouring acute lowering of blood pressure with a 95% confidence interval completely below 1.0 is for patients with no history of hypertension.
Bottom Line: Intensive blood pressure lowering in patients with ICH is safe but not necessarily better.
Case Resolution: In this patient with ICH and a blood pressure of 210/110mmHg you begin to lower his patient’s blood pressure to <180mmHg as per the guidelines. You do not worry about dropping the BP fast or to <140mmHg. Neurosurgery is contacted.
Clinical Application: In patients with acute ICH I will continue to attempt to lower their blood pressure below 180mmHg. However, I will not be worried if the blood pressure drops to normal levels.
What do I tell my patients? You are having a bleeding stroke which is very serious. You also have high blood pressure with the stroke. There is some weak evidence that aggressive lowering of the blood pressure may help and does not appear dangerous. Based upon this evidence, we will try to carefully lower your blood pressure and get the neurosurgeons to see you as fast as we can.
Keener Kontest: Last weeks winner was Dr. Seth Trueger a Health Policy Fellow in Emergency Medicine from George Washington University. He knew China was the country who developed the movable type printing technology hundreds of years before Gutenberg in 1450.
If you want to play the Keener Kontest this week then listen to the podcast for the question. Email me your answer at TheSGEM@gmail.com with “keener” in the subject line. The first person to correctly answer the question will receive a cool skeptical prize.


You must be logged in to post a comment.